歯科・小児歯科・口腔外科
当院では、デジタルレントゲンなどを活用し、
患者様に負担をかけることなく現状を詳しく把握。
そして治療について詳しい説明を行ない、
安心して治療に専念していただけるよう心掛けています。
虫歯治療や歯周病治療など、歯科医院にて受ける治療の大半を歯科治療といいます。
お子様から、ご年配の方々まで、家族のごとく親切丁寧に対応させて頂きます。
よろしくお願いいたします。
歯周病治療・予防・メンテナンス
お口の中にはおよそ300~500種類の細菌が住んでいます。
これらは普段あまり悪いことをしませんが、ブラッシングが充分でなかったり、
砂糖を過剰に摂取すると細菌がネバネバした物質を作り出し、歯の表面につきます。
これを歯垢(プラーク)と言い、粘着性が強くうがいをした程度では落ちません。
この歯垢(プラーク)1mgの中には10億個の細菌が住みついていると言われ、
むし歯や歯周病をひき起こします。
細菌、汚れの除去などメンテナンスが大切です。
歯周病治療
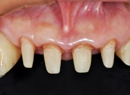
歯周病は、細菌の感染によって引き起こされる炎症性疾患です。
歯と歯肉の境目(歯肉溝)の清掃が行き届かないでいると、そこに多くの細菌が停滞し(歯垢の蓄積)歯肉の辺縁が「炎症」を帯びて赤くなったり、腫れたりします(痛みはほとんどの場合ありません)。
そして、進行すると歯周ポケットと呼ばれる歯と歯肉の境目が深くなり、歯を支える土台(歯槽骨)が溶けて歯が動くようになり、最後は抜歯をしなければいけなくなってしまいます。
「歯周病を進行させる因子」
・歯ぎしり、くいしばり、かみしめ
・不適合な冠や義歯
・不規則な食習慣
・喫煙
・ストレス
・全身疾患(糖尿病、骨粗鬆症、ホルモン異常)
・薬の長期服用
現在では歯周病は、予防でき治療も可能です。
大切なのは予防、診断、治療、そしてメンテナンスです。
以前は「不治の病」とさえ言われていた歯周病も、現在では進行を阻止することが可能となり、健康をとりもどすことができるのです。
まず、歯周病の原因は歯垢ですから、それをためない、増やさないことが基本です。
そのためには正しい歯ブラシの方法で毎日実行することです。
歯の表面を歯垢のない清潔な状態にしておく事が何より大切なことです。
まずは歯科医院にて歯肉の中まで入っている歯石を完全に取り除き、
さらに根の表面を滑らかにして炎症を引き起こす細菌を徹底的に除去することです。
傷んだ歯肉を治療して健康に近い歯肉にすることです。
そして専門的なクリーニングなどのメンテナンスを定期的に受けることです。
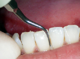
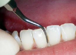
PMTC
トレーニングを受けた衛生士が、超音波スケーラーや、研面機器などの器具を使って口腔内清掃を行います。
歯石・プラークはもちろんのこと、歯ブラシだけでは取れないバイオフィルムや(むし歯や歯周病を引き起こす細菌のかたまり)、なかなか取ることができない、すき間に残った汚れを徹底的に除去します。
終了後は、歯がツルツルで爽快!
定期的に行うことをおすすめいたします。
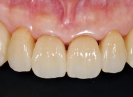
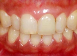
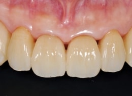
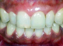
審美性を伴う歯科治療
人の第一印象は、笑顔で決まります。
当院ではお口のトラブルを解消するだけではなく、
素敵な笑顔になるお手伝いもさせていただきます。
審美性を伴う歯科治療とは、歯の色や並び、歯肉に至るまで、口元の美しさを追求した、
総合的な歯科医療です。
美しい口元で、素敵な笑顔を手に入れましょう!
ホワイトニング
ご自宅にてマウスピースを使い、歯を薬品で浸して美白くするのが「ホームホワイトニング」
医院にて施術するものを「オフィスホワイトニング」といいます。
美白剤の主な成分は過酸化水素で、消毒薬のオキシドールとしてで知られております。
オフィスホワイトニングの方が短期で効果が出やすいですが、
ご自宅にてご自身のペースで行うホームホワイトニングもおすすめです。
欧米では、すでに100万人以上の方がこの技術で歯を美白しています。
喫煙や、コーヒー・紅茶の飲用などによる歯の変色、老化や遺伝による黄ばみにも優れた効果があります。
歯が綺麗だと本当に印象が良くなります!
おすすめです!
当院にて採用している「Niteエクセル」の詳細はこちらからどうぞ。
オールセラミックス・ジルコニアなど・・・
オールセラミックとは、
金属を全く使わずにセラミックのみを使用した、限りなく天然歯に近い歯です。
金属アレルギーの方にも安心して使うことが出来ます。
当院では、オールセラミックス以外にも、ジルコニア、ハイブリッドレジンなど、
患者様のご要望に添うべく多種にわたる治療方法を提供しております。
ご相談の上、最適なものを提供いたします。
当院にて採用している「エステニア」の詳細はこちらからどうぞ。
当院にて採用している「セルコン」の詳細はこちらからどうぞ。
当院にて採用している「ジルコニア」の詳細はこちらからどうぞ。

デンチャー(義歯・入れ歯)
当院では、満足度の高い義歯を提供するにあたり、多種多様なものを取り扱っております。
みなさまより満足の頂けるお言葉をいただくまで、お付き合いさせていただきます。
保険対応の義歯から、機能的で審美性の高い保険外義歯まで幅広く取り扱っております。
相談しながら最適なものを選び使用しましょう。
インプラント(人工歯根)
インプラントは、歯が失われた場所に、人工歯根を埋め込み、歯槽骨に固定した後、
人工の歯を装着する治療方法です。
入れ歯で満足できない方は、インプラントを埋入することで、骨に直接固定され、
人工の歯で噛む振動がそのまま骨にも伝わり、身体の一部のように感じることができます。
この治療方法は外科手術を伴いますので、適応症例であるかどうか全身の健康状態をチェック・骨の状態など、より精密な検査を行い施術いたします。
床矯正
床矯正とは写真の様な取り外し式の矯正装置をご自身で装着して頂くタイプの矯正治療です。
歯列不正の多くは顎の骨の未発達により、歯が並ぶスペースが不足して起こっています。
床矯正治療は顎の骨を自然な大きさまで拡大することによって歯の並ぶスペースを作る治療法です。
そのため一般的な矯正治療でしばしば行われる「健康な歯の抜歯」を行う必要がありません。
また、ご自分で装置を装着するタイプなので、人前に出る時やお仕事中は外して頂くことができます。
基本的には夜寝る時に装着して頂き、治療を進めて行きます。
個人差はありますが治療期間も短く(1年〜1年半くらい)治療費も通常の矯正治療のように高額にはなりません。
矯正治療の相談は無料で行っておりますので、いつでもお問い合わせ下さい。


